Mobile Right Femur X-Ray AH (After Hours) in Phoenix Metro
Clear Imaging for Thigh Bone Pain and Injuries
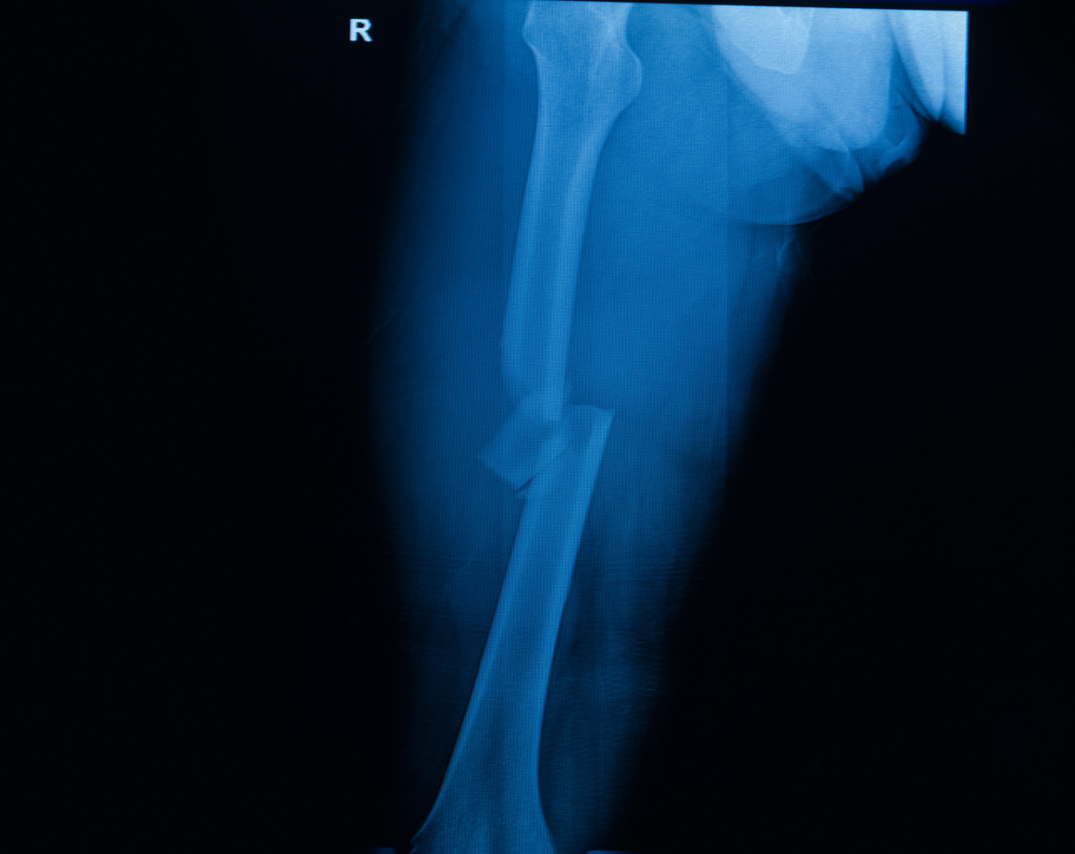
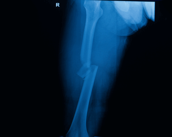
A right femur X-ray provides detailed images of the thigh bone—the largest and strongest bone in the human body. Physicians often order this test to diagnose fractures, evaluate bone alignment, detect arthritis, or monitor post-surgical healing. At Desert Mobile Medical, we deliver this essential diagnostic service directly to you with hospital-grade mobile X-ray technology. That means you get answers quickly, privately, and comfortably—without the delays of ER visits or crowded urgent care centers.
Right Femur X-Ray AH by Desert Mobile Medical…where convenience meets expert medical care.
After Hours:
Monday to Thursday 6pm-8am
Friday to Monday 3pm-8am
When a Right Femur X-Ray AH is Needed
Your provider may recommend a femur X-ray for:
-
Injury or Trauma – To confirm or rule out fractures from falls, accidents, or sports injuries.
-
Persistent Leg Pain or Swelling – To evaluate possible hidden fractures, arthritis, or inflammation.
-
Alignment Issues – To check for bone deformities or leg-length discrepancies.
-
Post-Surgical Monitoring – To track bone healing and hardware placement.
-
Bone Health Concerns – To detect tumors, cysts, infections, or osteoporosis-related damage.
Because it is quick and reliable, a femur X-ray often serves as the first step before advanced imaging such as MRI or CT.
The Desert Mobile Medical Advantage
We transform how patients experience imaging by bringing concierge-level care directly to you:
-
100% Mobile Service – Our technologists bring hospital-grade X-ray equipment to your home, office, or care facility.
-
Same-Day Results – Images are interpreted by board-certified radiologists, and reports are delivered quickly.
-
Privacy & Comfort – Skip long drives and crowded waiting rooms.
-
Concierge Oversight – Results are reviewed and integrated into your personalized care plan.
Transparent Pricing For Your Right Femur X-Ray AH
We believe in fairness and clarity:
-
Mobile Femur Hip X-Ray: $275 for Working Hours & $375 for After Hours
-
Direct-Pay Simplicity: We don’t bill insurance—no surprise costs or denials.
FAQs
Q: How long does a femur X-ray take?
A: Usually about 15–20 minutes, depending on how many views are needed.
Q: Is the test safe?
A: Yes. We use low-dose digital X-ray technology for safety and accuracy.
Q: Do I need a referral?
A: Our physicians can evaluate your symptoms and order the X-ray if appropriate.
Q: How soon will I get results?
A: Reports are typically ready the same day, often within just a few hours.
Concierge Imaging Without the Hassle
Leg pain or injury shouldn’t keep you waiting. With Desert Mobile Medical, your mobile left femur X-ray comes directly to you—fast, private, and precise.
Schedule your at-home Right Femur X-ray AH today with Desert Mobile Medical.


Reviews
There are no reviews yet.